
The MR-OR allows neurosurgeons to take images of the brain before, during and after surgery. On Wednesday, Oct. 25, at 1:00 p.m. EDT, neurosurgeons at Children's Hospital Boston will remove a brain tumor employing functional mapping of the cortex on a 13-year-old pediatric patient during a live Webcast. Children's hosts three to four Webcasts annually to showcase its pioneering care and technology to specialists and referring physicians around the world, and to educate consumers on the latest and most innovative medical treatments available.
The Webcast will feature Children's intraoperative MRI system, known as the MR-OR, the first and only system of its kind at a pediatric hospital in the country. Developed by IMRIS, the iSPACE surgical imaging suite captures digital images through a unique, ceiling-mounted, movable MRI scanner that can be used to take high-resolution, real-time patient scans before, during and after a surgical procedure. This advanced technology allows surgeons to determine the extent of a tumor while the patient is undergoing surgery to ensure its accurate removal.
"Unlike other intraoperative MR machines, the mobile MRI lets surgeons use their usual metal surgical tools because the unit is moved into the shielded garage when surgeons are operating," says Joseph R. Madsen, MD, a neurosurgeon in the Department of Neurosurgery at Children's Hospital Boston and associate professor of Surgery at Harvard Medical School. 
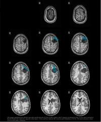
MR scans will be used to assess the degree of tumor resection before the surgery is completed.
Dr. Madsen will operate on a patient with oligodendroglioma, a low-grade tumor arising from glial cells in the central nervous system. The tumor lies near motor and sensory areas of the brain, which will require electrocorticography and physiological tests to map the normal brain around the tumor before the surgery. Once the mapping has been completed, Dr. Madsen will then perform a microsurgical resection of the tumor.
Brain tumors are the most common solid tumors in children--approximately 1,800 are diagnosed in the United States each year. Today, more than half of all children diagnosed with a brain tumor will be cured of the disease. The most effective form of treatment is the surgical removal of all or part of the tumor without jeopardizing any of the brain's critical functions. In order to decide which areas of the tumor can safely be removed, neurosurgeons use the technique of brain mapping.
"The cutting edge of neurosurgery is to identify and remove as much of the undesirable pathologically damaging brain tissue without disturbing the functioning areas of the brain," says Dr. Madsen. "Through the use of physiological mapping and the MR-OR, we are able to achieve this and assure our patients the best possible surgical outcomes."
Dr. Madsen will be assisted by neurologist Frank H. Duffy, MD, radiologist Carolyn Robson, MB, ChB , and associate anesthesiologist-in-chief Mark A. Rockoff, MD. They will also serve as Webcast commentators, providing additional information about the procedure throughout the surgery. Moderating the live broadcast will be neurosurgeon Mark R. Proctor, MD. Neurosurgeon-in-chief R. Michael Scott, MD, will introduce the Webcast and offer insight into pediatric brain tumors. Liliana C. Goumnerova, MD, and Mark Kieran, MD, PhD, the surgical and medical directors of the Brain Tumor Clinic, a collaborative program with Dana-Farber Cancer Institute, will also be on-hand to discuss the neuro-oncological aspects of the procedure, while Craig D. McClain, MD, and Keith Ligon, MD, will comment on the anesthesia and neuropathology, respectively. An 11-year-old brain tumor patient, who recently underwent a similar procedure in the MR-OR, and his family will also answer questions during the Webcast.
Source : Children's Hospital Boston
Print Article
Mail to a Friend
